联系我们contact us
地址:上海市闵行区新骏环路138号3幢402室
邮箱:INFO@huifengdental.com
邮编:201114
电话:021-52236090 13611959600
官宣 |上海慧丰牙科技术有限公司成为3M Lava™ 授权切削中心
慧丰介绍
上海慧丰牙科技术有限公司成立于2006年,本公司目前专业从事种植上部修复、种植椅旁即刻修复、咬颌重建全瓷修复、3D导板设计、制作,及椅 旁数字化整体方案解决。是种植上部修复医—技专业培训的齿科中心。
自购厂区主要设立:医—技培训部、数字化种植加工中心、数字化美学修复中心。
2019年,上海慧丰牙科技术有限公司被授予3MLava™授权切削中心
3M Lava™ 专业切削设备
DEKEMA 烧结炉设备
让患者放心的防伪系统
1.输入链接:http://m.3mebiz.com/lava
2.输入您的Lava系统登录账号和密码,点击 [登录] 按钮,进入系统
报修凭证
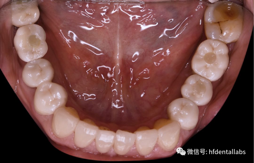
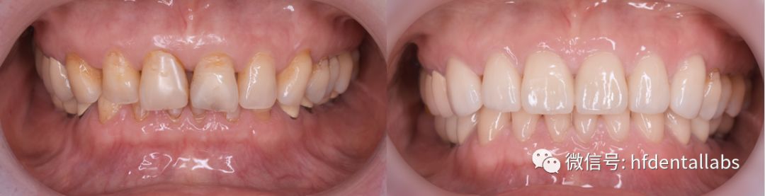
慧丰案例
氧化锆美学修复:
了解更多信息请关注我们
发布日期:2019年11月12日







沪公网安备 31011502003623号